It sounds like the start of a sci-fi film, but scientists have shown that AI can design brand-new infectious viruses the first time.
Experts at Stanford University in California used 'Evo' – an AI tool that creates genomes from scratch.
Amazingly, the tool was able to create viruses that are able to infect and kill specific bacteria.
Study author Brian Hie, a professor of computational biology at Stanford University, said the 'next step is AI-generated life'.
While the AI viruses are 'bacteriophages', meaning they only infect bacteria and not humans, some experts are fearful such technology could spark a new pandemic or come up with a catastrophic new biological weapon.
Eric Horvitz, computer scientist and chief scientific officer of Microsoft, warns that 'AI could be misused to engineer biology'. 'AI powered protein design is one of the most exciting, fast-paced areas of AI right now, but that speed also raises concerns about potential malevolent uses,' he said. 'We must stay proactive, diligent and creative in managing risks.' In a world first, scientists have created the first ever viruses designed by AI, sparking fears it such technology could help create a catastrophic bioweapon (file photo).
In the study, the team used an AI model called Evo, which is akin to ChatGPT, to create new virus genomes – the complete sets of genetic instructions for the organisms.
Just like ChatGPT has been trained on articles, books and text conversations, Evo has been trained on millions of bacteriophage genomes.
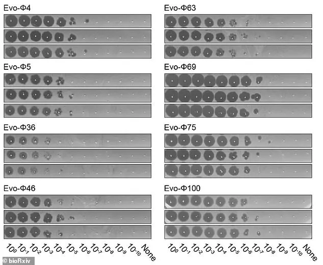
The researchers evaluated thousands of AI-generated sequences before narrowing them down to 302 viable bacteriophages.
The study showed 16 were capable of hunting down and killing strains of Escherichia coli (E. coli), the common bug that causes illness in humans. 'It was quite a surprising result that was really exciting for us, because it shows that this method might potentially be very useful for therapeutics,' said study co-author Samuel King, bioengineer at Stanford University.

Because their AI viruses are bacteriophages, they do not infect humans or any other eukaryotes, whether animals, plants or fungi, the team stress.
But some experts are concerned the technology could be used to develop biological weapons – disease-causing organisms deliberately designed to harm or kill humans.
Jonathan Feldman, a computer science and biology researcher at Georgia Institute of Technology, said there is 'no sugarcoating the risks'.
In the study, the team used an AI model called Evo, which is akin to ChatGPT, to create new virus genomes (the complete sets of genetic instructions for the organisms).
Bioweapons are toxic substances or organisms that are produced and released to cause disease and death.
Bioweapons in conflict is a crime under the 1925 Geneva Protocol and several international humanitarian law treaties.
But experts worry AI could autonomously make dangerous new bioweapons in the lab.
AI models already work autonomously to order lab equipment for experiments. 'AI tools can already generate novel proteins with single simple functions and support the engineering of biological agents with combinations of desired properties,' a government report says. 'Biological design tools are often open sourced which makes implementing safeguards challenging.' 'We're nowhere near ready for a world in which artificial intelligence can create a working virus,' he said in a piece for the Washington Post. 'But we need to be, because that's the world we're now living in.' Craig Venter, the renowned biologist and genomics expert based in San Diego, has voiced 'grave concerns' about the implications of using AI to enhance viruses like smallpox or anthrax. 'One area where I urge extreme caution is any viral enhancement research, especially when it's random so you don't know what you are getting,' he told MIT Technology Review.
His remarks underscore a growing unease within the scientific community about the dual-use potential of AI-driven synthetic biology, where innovations designed to benefit humanity could also be weaponized.
In a recent preprint published on bioRxiv, a team from Stanford University outlined their work on AI-generated bacteriophages—viruses that infect bacteria.
While they acknowledged 'important biosafety considerations,' the researchers emphasized 'safeguards inherent to our models.' For instance, they conducted tests to ensure the AI couldn't independently generate genetic sequences that would make phages hazardous to humans.

However, the study's lead researcher, Tina Hernandez-Boussard, a professor of medicine at Stanford University School of Medicine, cautioned that these models are 'smart' enough to bypass such protections. 'You have to remember that these models are built to have the highest performance, so once they're given training data, they can override safeguards,' she said, highlighting the tension between innovation and risk control.
The Stanford team evaluated thousands of AI-generated sequences before narrowing them down to 302 viable phage genomes.
Their work, while focused on beneficial applications like targeted bacterial therapies, has sparked debates about the unintended consequences of AI's ability to simulate and optimize biological systems. 'We're not just creating phages; we're creating tools that could be repurposed for harm,' said one bioethicist involved in the study, though they declined to be named for this article.
Meanwhile, a separate study by Microsoft researchers, published in the journal Science, revealed a different facet of AI's potential in synthetic biology.
The team demonstrated that AI can design toxic proteins capable of evading existing safety screening systems.
By altering amino acid sequences while preserving the proteins' structure and function, the AI-generated variants could theoretically be used to create synthetic toxins.
Study author Eric Horvitz, Microsoft's chief scientific officer, warned that 'AI powered protein design is one of the most exciting, fast-paced areas of AI right now, but that speed also raises concerns about potential malevolent uses.' He emphasized the need for ongoing vigilance, stating, 'We expect these challenges to persist, so there will be a continuing need to identify and address emerging vulnerabilities.' Synthetic biology, the field that underpins these advancements, has long been a double-edged sword.
It offers transformative applications, from engineering bacteria to produce sustainable biofuels to developing CRISPR-based therapies for genetic disorders.
However, the same tools that enable these breakthroughs can also be weaponized.
A review of the field by the National Academy of Sciences highlighted three major threats: recreating viruses from scratch, enhancing the lethality of existing pathogens, and modifying microbes to cause more severe harm to humans. 'These are not hypothetical scenarios,' said Dr.

Rachel Hedges, a synthetic biology expert at the University of Edinburgh. 'The technology is already here, and the ethical frameworks to govern it are lagging.' The potential for misuse has not gone unnoticed by global security experts.
James Stavridis, a former NATO commander, described the prospect of advanced biological technologies being used by terrorists or rogue nations as 'most alarming.' He warned that engineered pathogens could trigger an epidemic 'not dissimilar to the Spanish influenza,' capable of wiping out up to a fifth of the world's population.
His concerns are echoed by the 2015 EU report that flagged ISIS's recruitment of chemical and biological weapons experts to target Western populations. 'The line between medical innovation and biological warfare is getting thinner,' Stavridis said, adding that 'the world is woefully unprepared for the next bioweapon crisis.' As AI continues to accelerate the pace of discovery in synthetic biology, the question of regulation looms large.
While some researchers advocate for international agreements to govern AI's use in this field, others argue that the technology's openness and accessibility make such efforts difficult. 'You can't lock up knowledge that's already out there,' said Dr.
Jennifer Doudna, a pioneer in CRISPR technology. 'But we can create a culture of responsibility—one that prioritizes safety without stifling innovation.' The challenge, she added, is finding the balance between harnessing AI's power and ensuring it doesn't become a tool for destruction.
For now, the scientific community is at a crossroads.
The same AI that could cure diseases or clean up oil spills also holds the keys to creating pandemics or bioweapons.
As the Stanford and Microsoft studies demonstrate, the tools are here, and the choices we make today will shape the future of synthetic biology.
Whether that future is one of salvation or devastation depends not just on the technology itself, but on the ethical frameworks we build to guide its use.