Recent medical images offer a rare and unsettling glimpse into the internal damage caused by ultra-processed foods (UPFs). One particular cross-section of a woman's thigh muscle looks strikingly similar to a marbled slab of steak, providing a visual record of the harm these industrial foods can inflict on the human body.
In this case study, the woman’s diet was composed of 87 percent ultra-processed foods, including staples like regular soda, chocolate candy bars, and cold cereals. These foods are primarily industrial formulations made from substances like refined sugars, starches, and oils, often supplemented with additives such as artificial flavors, colors, emulsifiers, and preservatives. Despite maintaining a moderate level of physical activity, the high concentration of UPFs caused fat to infiltrate her muscle tissue.
This phenomenon is not unique to a single individual. A separate study of 615 adults at risk for knee osteoarthritis revealed that, on average, ultra-processed foods made up about 41 percent of their daily intake. Researchers observed that higher consumption of these foods is linked to increased 'marbling'—a process where fat accumulates inside the thigh muscles, directly replacing healthy muscle tissue and weakening the structure.

The medical term for this fat accumulation within muscle fibers is myosteatosis. It is driven by metabolic stressors such as insulin resistance and chronic, low-grade inflammation. When the body is overloaded with chemical additives, unhealthy fats, and refined sugars, muscle cells may lose their ability to respond to insulin and take up glucose for energy. Instead of repairing the muscle, specialized cells can become confused and begin transforming into fat cells, creating pockets of fat where functional muscle once existed.
The potential impact on public health and community stability is significant. As thigh muscles become increasingly fatty, simple movements like climbing stairs, rising from a chair, or carrying groceries become much harder. This loss of strength can lead to unsteadiness and an increased risk of falls, often forcing individuals into a more sedentary lifestyle that further accelerates muscle loss and threatens their independence.
The risks extend far beyond physical mobility. High levels of muscle fat are linked to higher overall body fat, metabolic syndrome, and chronic inflammation. For individuals managing serious conditions like cancer, kidney disease, or liver disease, this condition is associated with higher rates of hospitalization, surgical complications, and even an increased risk of early death.

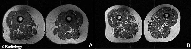
The visual evidence is stark when comparing MRI scans of two women of similar age and weight. A 61-year-old whose diet contains 30 percent ultra-processed foods shows minimal fat infiltration, whereas a 62-year-old whose diet is 87 percent ultra-processed foods shows significant, visible marbling.
White streaks of fat can replace healthy muscle, much like the marbling seen in a piece of steak. This internal infiltration occurs when diets rely heavily on ultra-processed foods, directly weakening the body's essential muscle tissue.
Accessing the hidden details of human anatomy, researchers analyzed data from the Osteoarthritis Initiative study. They focused on 615 individuals who were free from chronic diseases, joint pain, or pre-existing arthritis.

Each participant provided a comprehensive record of their dietary habits over the previous year. Scientists used these records to calculate the specific percentage of daily calories derived from ultra-processed foods.
The study, published in the journal Radiology, utilized MRI scans to observe fat levels within the thighs. Researchers graded fat infiltration in the hamstrings, quadriceps, and inner thighs on a scale from zero to four, where four represents over 50 percent fat.

The evidence shows that higher consumption of ultra-processed foods leads to significantly more intramuscular fat. This trend was particularly evident when measuring abdominal circumference rather than relying solely on BMI.
The adductors, or inner thighs, experienced the most profound impact, followed by the hamstring flexors. While the quadriceps extensors showed less change, the effect remained statistically significant for both men and women.
Ultra-processed foods are industrial products made from refined sugars, oils, and starches, alongside various artificial additives. These substances represent a growing nutritional risk to public health and long-term physical stability.

While reversing existing fat infiltration is not yet certain, weight loss and exercise can improve muscle quality. Regular aerobic exercise, like walking 30 to 60 minutes daily, may reduce fat in older adults.
Resistance training can enhance muscle strength even if fat deposits remain within the tissue. Furthermore, bariatric surgery has demonstrated the ability to reduce intramuscular fat in patients with severe obesity.
Reducing the intake of ultra-processed foods is essential to prevent further damage. The primary goal should be protecting muscle health and preventing additional marbling as we age.